联系我们

400-8787-807

快速订购
R

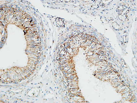
Pin1 (PT1743R) PT™ Rabbit mAb

-YM9585

hot 5 2 10
主要信息
Target

Pin1

Host Species

Rabbit

Reactivity

Human, Mouse, Rat

Applications

WB, IHC, IF, IP, ELISA

MW

18kD (Calculated)

18kD (Observed)

Conjugate/Modification

Unmodified

货号: YM9585
规格
价格
货期
数量
200μL
¥3,580.00
现货

0

100μL
¥1,960.00
现货

0

40μL
¥960.00
现货

0

加入购物车

已收藏

收藏

定制服务咨询
详细信息
推荐稀释比
IHC 1:200-1:1000; WB 1:2000-1:10000; IF 1:200-1:1000; ELISA 1:5000-1:20000; IP 1:50-1:200;
Note: For IHC, we suggest antigen retrieval with TE buffer pH 9.0 (Cat#YS0004)
组成
PBS, 50% glycerol, 0.05% Proclin 300, 0.05%BSA
特异性
Endogenous
纯化工艺
Protein A
储存
-15°C to -25°C/1 year(Do not lower than -25°C)
理论分子量
18kD
实测条带
18kD
修饰
Unmodified
克隆性
Monoclonal
克隆号
PT1743R
同种型
IgG,Kappa
相关产品
Primary Antibodies
Pin1 Rabbit pAb
YT3730

预览→

Primary Antibodies
Pin1 (Phospho Ser16) Rabbit pAb
YP0702

预览→

Secondary Antibodies
Goat Anti Mouse IgG(H+L) (HRP)
RS0001

预览→

Secondary Antibodies
Goat Anti Rabbit IgG(H+L) (HRP)
RS0002

预览→

Primary Antibodies
β-actin (PTR2364) Mouse mAb
YM3028

预览→

Primary Antibodies
GAPDH (PTR2304) Mouse mAb
YM3029

预览→

抗原&靶点信息
特异性:
Endogenous
展开内容
基因名称:
PIN1
展开内容
蛋白名称:
Peptidyl-prolyl cis-trans isomerase NIMA-interacting 1
展开内容
别名:
PIN1 ;
Peptidyl-prolyl cis-trans isomerase NIMA-interacting 1 ;
Peptidyl-prolyl cis-trans isomerase Pin1 ;
PPIase Pin1 ;
Rotamase Pin1
展开内容
数据库链接:
Organism 基因 ID SwissProt
Human 5300; Q13526;
Mouse 23988; Q9QUR7;
背景:
Peptidyl-prolyl cis/trans isomerases (PPIases) catalyze the cis/trans isomerization of peptidyl-prolyl peptide bonds. This gene encodes one of the PPIases, which specifically binds to phosphorylated ser/thr-pro motifs to catalytically regulate the post-phosphorylation conformation of its substrates. The conformational regulation catalyzed by this PPIase has a profound impact on key proteins involved in the regulation of cell growth, genotoxic and other stress responses, the immune response, induction and maintenance of pluripotency, germ cell development, neuronal differentiation, and survival. This enzyme also plays a key role in the pathogenesis of Alzheimer's disease and many cancers. Multiple alternatively spliced transcript variants have been found for this gene.[provided by RefSeq, Jun 2011],
展开内容
功能:
Catalytic activity:Peptidylproline (omega=180) = peptidylproline (omega=0).,Domain:The WW domain is required for the interaction with STIL and MPHOSPH1.,Function:Essential PPIase that regulates mitosis presumably by interacting with NIMA and attenuating its mitosis-promoting activity. Displays a preference for an acidic residue N-terminal to the isomerized proline bond. Catalyzing pSer/Thr-Pro cis/trans isomerizations.,PTM:Phosphorylated upon DNA damage, probably by ATM or ATR.,similarity:Contains 1 PpiC domain.,similarity:Contains 1 WW domain.,subunit:Interacts with STIL (By similarity). Interacts with MPHOSPH1.,
展开内容
细胞定位:
Nucleus . Nucleus speckle . Cytoplasm . Colocalizes with NEK6 in the nucleus (PubMed:16476580). Mainly localized in the nucleus but phosphorylation at Ser-71 by DAPK1 results in inhibition of its nuclear localization (PubMed:21497122). .
展开内容
研究领域:
>>Viral life cycle - HIV-1 ;
>>RIG-I-like receptor signaling pathway
展开内容
货号: YM9585
规格
价格
货期
数量
200μL
¥3,580.00
现货

0

100μL
¥1,960.00
现货

0

40μL
¥960.00
现货

0

加入购物车

已收藏

收藏

定制服务咨询
×

Toggle night Mode

{{pinfoXq.title || ''}}

Catalog: {{pinfoXq.catalog || ''}}
Filter:

All

{{item.name}}

{{pinfo.title}}
-{{pinfo.catalog}}

筛选器:

{{item.descr}}

主要信息
Target
{{pinfo.target}}
Reactivity
{{pinfo.react}}
Applications
{{pinfo.applicat}}
Conjugate/Modification
{{pinfo.coupling}}/{{pinfo.modific}}
MW (kDa)
{{pinfo.mwcalc}}
Host Species
{{pinfo.hostspec}}
Isotype
{{pinfo.isotype}}
查看产品详情
产品 {{index}}/{{pcount}}
上一个产品
下一个产品

{{pvTitle}}

滚轮缩放图片
{{pvDescr}}