更新时间:2024-10-28 14:50:14
3284
产品优势
特异性强:多聚体(Polymer)酶标记二抗,特异性强,敏感 性高,低背景,让检测结果更加精确、明亮和清晰;
操作简单:即用型,提高信号放大强度的同时操作简单; 无内源干扰:非生物素标记,避免由于组织内源性生物素引起 的非特异性反应。
速度快:孵育时间短,只需孵育30min,高效完成检测;
多指标,多组织验证,与其他优秀抗体品牌比较,手动、机检结果显色阳性强度、阳性率、低背景,检测结果一致。
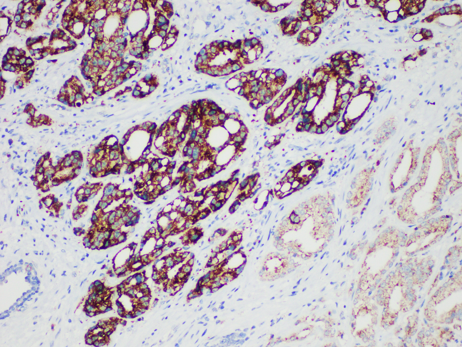
IHC结果展示

Human prostate adenocarcinoma tissue was stained with anti-AMACR(ABT-AMACR) (YM6658) primary antibody and detected
by the Polymer HRP Goat Anti Mouse/Rabbit IgG(H+L)-P.

Human colorectal carcinoma tissue was stained with anti-MSH6 primary antibody and detected
by the Polymer HRP Goat Anti Mouse/Rabbit IgG(H+L)-P

Human breast carcinoma tissue was stained with anti-CK7 (ABT-CK7) (YM6169) primary antibody and detected
by the Polymer HRP Goat Anti Mouse/Rabbit IgG(H+L)-P

Human tonsil tissue was stained with anti-CD3 (ABT295) (YM6839) primary antibody and detected
by the Polymer HRP Goat Anti Mouse/Rabbit IgG(H+L)-P