联系我们

400-8787-807

快速订购

Total S1P Receptor EDG1 Cell-Based Colorimetric ELISA Kit

-KA4272C

5
主要信息
Reactivity

Human, Mouse, Rat

Applications

ELISA

Conjugate/Modification

Unmodified

货号: KA4272C
规格
价格
货期
数量
96well
¥3,300.00
两周

0

加入购物车

已收藏

收藏

定制服务咨询
详细信息
储存
2-8°C/6 months,Ship by ice bag
修饰
Unmodified
检测方法
Colorimetric
相关产品
Primary Antibodies
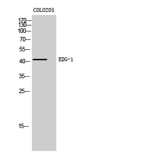
EDG-1 Rabbit pAb
YT1460

预览→

Primary Antibodies
EDG-1 Rabbit pAb
YT1459

预览→

Primary Antibodies
EDG-1 (Phospho Thr236) Rabbit pAb
YP1193

预览→

ELISA Kits
Total S1P Receptor EDG1 Cell-Based Colorimetric ELISA Kit
KA4272C

预览→

抗原&靶点信息
基因名称:
S1PR1
展开内容
别名:
Sphingosine 1-phosphate receptor 1 ;
S1P receptor 1 ;
S1P1 ;
Endothelial differentiation G-protein coupled receptor 1 ;
Sphingosine 1-phosphate receptor Edg-1 ;
S1P receptor Edg-1 ;
CD antigen CD363 ;
展开内容
数据库链接:
Organism 基因 ID SwissProt
Human 1901; P21453;
Mouse O08530;
Rat P48303;
背景:
function:Receptor for the lysosphingolipid sphingosine 1-phosphate (S1P). S1P is a bioactive lysophospholipid that elicits diverse physiological effect on most types of cells and tissues. This inducible epithelial cell G-protein-coupled receptor may be involved in the processes that regulate the differentiation of endothelial cells. Seems to be coupled to the G(i) subclass of heteromeric G proteins.,induction:By the tumor promoter phorbol 12-myristate 13-acetate (PME) in the presence of cycloheximide.,PTM:S1P-induced endothelial cell migration requires the PKB/AKT1-mediated phosphorylation of the third intracellular loop at the Thr-236 residue.,similarity:Belongs to the G-protein coupled receptor 1 family.,tissue specificity:Endothelial cells, and to a lesser extent, in vascular smooth muscle cells, fibroblasts, melanocytes, and cells of epithelioid origin.,
展开内容
功能:
angiogenesis, blood vessel development, vasculature development, regulation of nucleotide metabolic process,regulation of transcription, DNA-dependent, regulation of transcription from RNA polymerase II promoter, cellular ion homeostasis, cellular calcium ion homeostasis, cellular metal ion homeostasis, cell adhesion, cell surface receptor linked signal transduction, G-protein coupled receptor protein signaling pathway, G-protein signaling, coupled to cyclic nucleotide second messenger, G-protein signaling, coupled to cAMP nucleotide second messenger, inhibition of adenylate cyclase activity by G-protein signaling, negative regulation of adenylate cyclase activity, activation of phospholipase C activity by G-protein coupled receptor protein signaling pathway coupled to IP3 second messenger,activation of phospholipase C activity, elevation of cytosolic calcium ion concentration, intracellular signaling cascade,positive regulation of cell proliferation, positive regulation of biosynthetic process, regulation of phospholipase activity,positive regulation of phospholipase activity, positive regulation of macromolecule biosynthetic process, positive regulation of macromolecule metabolic process, positive regulation of gene expression, negative regulation of organelle organization, positive regulation of phospholipase C activity, transmission of nerve impulse, cellular homeostasis, second-messenger-mediated signaling, cAMP-mediated signaling, cyclic-nucleotide-mediated signaling,biological adhesion, cellular cation homeostasis, cellular di-, tri-valent inorganic cation homeostasis, regulation of cell adhesion, neuron differentiation, regulation of cell migration, positive regulation of cell migration, regulation of cyclic nucleotide metabolic process, regulation of cyclic nucleotide biosynthetic process, regulation of nucleotide biosynthetic process, regulation of cAMP metabolic process, regulation of cAMP biosynthetic process, epithelial cell differentiation,regulation of cyclase activity, negative regulation of cyclase activity, positive regulation of cellular biosynthetic process,regulation of response to external stimulus, positive regulation of response to external stimulus, regulation of actin filament bundle formation, negative regulation of actin filament bundle formation, regulation of Ras GTPase activity,positive regulation of Ras GTPase activity, regulation of actin cytoskeleton organization, regulation of actin filament-based process, regulation of organelle organization, regulation of locomotion, positive regulation of locomotion,regulation of cell proliferation, homeostatic process, positive regulation of catalytic activity, negative regulation of catalytic activity, regulation of GTPase activity, positive regulation of GTPase activity, regulation of cellular component biogenesis, negative regulation of molecular function, positive regulation of molecular function, endothelial cell differentiation, regulation of transcription, regulation of adenylate cyclase activity, positive regulation of transcription, DNA-dependent, positive regulation of nucleobase, nucleoside, nucleotide and nucleic acid metabolic process, positive regulation of transcription, positive regulation of transcription from RNA polymerase II promoter, regulation of Ras protein signal transduction, phosphoinositide-mediated signaling, blood vessel morphogenesis, positive regulation of behavior, positive regulation of response to stimulus, regulation of smooth muscle cell proliferation, positive regulation of smooth muscle cell proliferation, chemical homeostasis, regulation of behavior, ion homeostasis, neurological system process, regulation of chemotaxis, positive regulation of chemotaxis, regulation of positive chemotaxis,positive regulation of positive chemotaxis, regulation of small GTPase mediated signal transduction, negative regulation of cellular component organization, positive regulation of nitrogen compound metabolic process, regulation of RNA metabolic process, positive regulation of RNA metabolic process, regulation of cell motion, positive regulation of cell motion, regulation of hydrolase activity, regulation of lyase activity, positive regulation of hydrolase activity,negative regulation of lyase activity, cytosolic calcium ion homeostasis, elevation of cytosolic calcium ion concentration during G-protein signaling, coupled to IP3 second messenger (phospholipase C activating), regulation of stress fiber formation, regulation of cytoskeleton organization, negative regulation of cytoskeleton organization, negative regulation of stress fiber formation, metal ion homeostasis, di-, tri-valent inorganic cation homeostasis, calcium ion homeostasis, cation homeostasis, cellular chemical homeostasis, regulation of lipase activity, positive regulation of lipase activity, epithelium development,
展开内容
细胞定位:
Cell membrane ; Multi-pass membrane protein. Endosome. Membrane raft. Recruited to caveolin-enriched plasma membrane microdomains in response to oxidized 1-palmitoyl-2-arachidonoyl-sn-glycero-3-phosphocholine. Ligand binding leads to receptor internalization.
展开内容
货号: KA4272C
规格
价格
货期
数量
96well
¥3,300.00
两周

0

加入购物车

已收藏

收藏

定制服务咨询
×

Toggle night Mode

{{pinfoXq.title || ''}}

Catalog: {{pinfoXq.catalog || ''}}
Filter:

All

{{item.name}}

{{pinfo.title}}
-{{pinfo.catalog}}

筛选器:

{{item.descr}}

主要信息
Target
{{pinfo.target}}
Reactivity
{{pinfo.react}}
Applications
{{pinfo.applicat}}
Conjugate/Modification
{{pinfo.coupling}}/{{pinfo.modific}}
MW (kDa)
{{pinfo.mwcalc}}
Host Species
{{pinfo.hostspec}}
Isotype
{{pinfo.isotype}}
查看产品详情
产品 {{index}}/{{pcount}}
上一个产品
下一个产品

{{pvTitle}}

滚轮缩放图片
{{pvDescr}}