联系我们

400-8787-807

快速订购

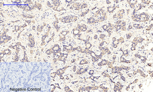
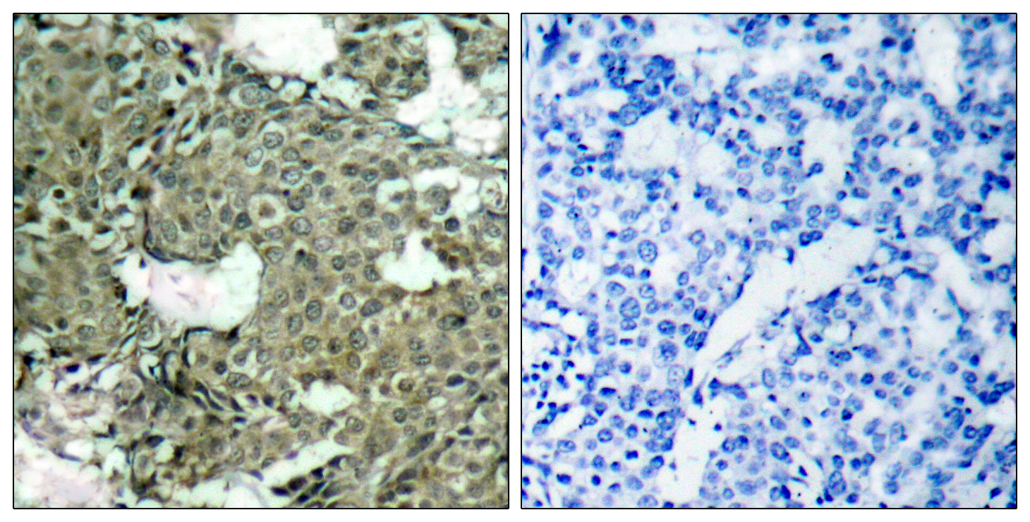
Total MEK1/2 Cell-Based Colorimetric ELISA Kit

-KA4175C

5
主要信息
Reactivity

Human, Mouse, Rat

Applications

ELISA

Conjugate/Modification

Unmodified

货号: KA4175C
规格
价格
货期
数量
96well
¥3,300.00
两周

0

加入购物车

已收藏

收藏

定制服务咨询
详细信息
储存
2-8°C/6 months,Ship by ice bag
修饰
Unmodified
检测方法
Colorimetric
相关产品
Primary Antibodies
MEK1/2 Rabbit pAb
YT2715

预览→

Primary Antibodies
MEK1/2 (Phospho Ser222/226) Rabbit pAb
YP0168

预览→

Primary Antibodies
MEK1/2 (Phospho Ser218/222) Rabbit pAb
YP0167

预览→

ELISA Kits
Total MEK1/2 Cell-Based Colorimetric ELISA Kit
KA4175C

预览→

ELISA Kits
MEK1/2 (Phospho Ser221) Cell-Based Colorimetric ELISA Kit
KA1607C

预览→

ELISA Kits
MEK1/2 (Phospho Ser217) Cell-Based Colorimetric ELISA Kit
KA1606C

预览→

抗原&靶点信息
基因名称:
MAP2K1/MAP2K2
展开内容
数据库链接:
Organism 基因 ID SwissProt
Human 5604;5605; Q02750;P36507;
Mouse 26395;26396;
Rat 170851;58960; Q01986;P36506;
背景:
The protein encoded by this gene is a member of the dual specificity protein kinase family, which acts as a mitogen-activated protein (MAP) kinase kinase. MAP kinases, also known as extracellular signal-regulated kinases (ERKs), act as an integration point for multiple biochemical signals. This protein kinase lies upstream of MAP kinases and stimulates the enzymatic activity of MAP kinases upon wide variety of extra- and intracellular signals. As an essential component of MAP kinase signal transduction pathway, this kinase is involved in many cellular processes such as proliferation, differentiation, transcription regulation and development. [provided by RefSeq, Jul 2008],
展开内容
功能:
Catalytic activity:ATP + a protein = ADP + a phosphoprotein.,Disease:Defects in MAP2K1 are a cause of cardiofaciocutaneous syndrome (CFC syndrome) [MIM:115150]; also known as cardio-facio-cutaneous syndrome. CFC syndrome is characterized by a distinctive facial appearance, heart defects and mental retardation. Heart defects include pulmonic stenosis, atrial septal defects and hypertrophic cardiomyopathy. Some affected individuals present with ectodermal abnormalities such as sparse, friable hair, hyperkeratotic skin lesions and a generalized ichthyosis-like condition. Typical facial features are similar to Noonan syndrome. They include high forehead with bitemporal constriction, hypoplastic supraorbital ridges, downslanting palpebral fissures, a depressed nasal bridge, and posteriorly angulated ears with prominent helices. The inheritance of CFC syndrome is autosomal dominant.,enzyme regulation:Activated by phosphorylation.,Function:Catalyzes the concomitant phosphorylation of a threonine and a tyrosine residue in a Thr-Glu-Tyr sequence located in MAP kinases. Activates ERK1 and ERK2 MAP kinases.,PTM:Acetylation by Yersinia yopJ prevents phosphorylation and activation, thus blocking the MAPK signaling pathway.,PTM:Phosphorylation on Ser/Thr by MAP kinase kinase kinases (RAF or MEKK1) regulates positively the kinase activity.,similarity:Belongs to the protein kinase superfamily.,similarity:Belongs to the protein kinase superfamily. STE Ser/Thr protein kinase family. MAP kinase kinase subfamily.,similarity:Contains 1 protein kinase domain.,subunit:Interacts with MORG1 (By similarity). Interacts with Yersinia yopJ.,
展开内容
细胞定位:
Cytoplasm, cytoskeleton, microtubule organizing center, centrosome . Cytoplasm, cytoskeleton, microtubule organizing center, spindle pole body . Cytoplasm . Nucleus . Membrane ; Peripheral membrane protein . Localizes at centrosomes during prometaphase, midzone during anaphase and midbody during telophase/cytokinesis (PubMed:14737111). Membrane localization is probably regulated by its interaction with KSR1 (PubMed:10409742). .
展开内容
信号通路
Cellular Processes >> Transport and catabolism >> Autophagy - animal Cellular Processes >> Cell growth and death >> Apoptosis Cellular Processes >> Cell growth and death >> Cellular senescence Cellular Processes >> Cellular community - eukaryotes >> Focal adhesion Cellular Processes >> Cellular community - eukaryotes >> Gap junction Cellular Processes >> Cellular community - eukaryotes >> Signaling pathways regulating pluripotency of stem cells Cellular Processes >> Cell motility >> Regulation of actin cytoskeleton Organismal Systems >> Immune system >> Neutrophil extracellular trap formation Organismal Systems >> Immune system >> Toll-like receptor signaling pathway Organismal Systems >> Immune system >> Natural killer cell mediated cytotoxicity Organismal Systems >> Immune system >> T cell receptor signaling pathway Organismal Systems >> Immune system >> B cell receptor signaling pathway Organismal Systems >> Immune system >> Fc epsilon RI signaling pathway Organismal Systems >> Immune system >> Fc gamma R-mediated phagocytosis Organismal Systems >> Immune system >> Chemokine signaling pathway Organismal Systems >> Endocrine system >> Insulin signaling pathway Organismal Systems >> Endocrine system >> GnRH signaling pathway Organismal Systems >> Endocrine system >> Estrogen signaling pathway Organismal Systems >> Endocrine system >> Prolactin signaling pathway Organismal Systems >> Endocrine system >> Oxytocin signaling pathway Organismal Systems >> Endocrine system >> Relaxin signaling pathway Organismal Systems >> Endocrine system >> Growth hormone synthesis, secretion and action Organismal Systems >> Endocrine system >> Thyroid hormone signaling pathway Organismal Systems >> Circulatory system >> Vascular smooth muscle contraction Organismal Systems >> Nervous system >> Cholinergic synapse Organismal Systems >> Nervous system >> Neurotrophin signaling pathway Organismal Systems >> Development and regeneration >> Osteoclast differentiation Human Diseases >> Cancer: overview >> Pathways in cancer Human Diseases >> Cancer: overview >> MicroRNAs in cancer Human Diseases >> Cancer: overview >> Central carbon metabolism in cancer Human Diseases >> Cancer: overview >> PD-L1 expression and PD-1 checkpoint pathway in cancer Human Diseases >> Cancer: specific types >> Colorectal cancer Human Diseases >> Cancer: specific types >> Pancreatic cancer Human Diseases >> Cancer: specific types >> Hepatocellular carcinoma Human Diseases >> Cancer: specific types >> Gastric cancer Human Diseases >> Cancer: specific types >> Glioma Human Diseases >> Cancer: specific types >> Thyroid cancer Human Diseases >> Cancer: specific types >> Acute myeloid leukemia Human Diseases >> Cancer: specific types >> Chronic myeloid leukemia Human Diseases >> Cancer: specific types >> Melanoma Human Diseases >> Cancer: specific types >> Renal cell carcinoma Human Diseases >> Cancer: specific types >> Bladder cancer Human Diseases >> Cancer: specific types >> Prostate cancer Human Diseases >> Cancer: specific types >> Endometrial cancer Human Diseases >> Cancer: specific types >> Breast cancer Human Diseases >> Cancer: specific types >> Non-small cell lung cancer Human Diseases >> Neurodegenerative disease >> Alzheimer disease Human Diseases >> Neurodegenerative disease >> Pathways of neurodegeneration - multiple diseases Environmental Information Processing >> Signal transduction >> MAPK signaling pathway Environmental Information Processing >> Signal transduction >> ErbB signaling pathway Environmental Information Processing >> Signal transduction >> Ras signaling pathway Environmental Information Processing >> Signal transduction >> Rap1 signaling pathway Environmental Information Processing >> Signal transduction >> VEGF signaling pathway Environmental Information Processing >> Signal transduction >> Apelin signaling pathway Environmental Information Processing >> Signal transduction >> TNF signaling pathway Environmental Information Processing >> Signal transduction >> HIF-1 signaling pathway Environmental Information Processing >> Signal transduction >> FoxO signaling pathway Environmental Information Processing >> Signal transduction >> Phospholipase D signaling pathway Environmental Information Processing >> Signal transduction >> Sphingolipid signaling pathway Environmental Information Processing >> Signal transduction >> cAMP signaling pathway Environmental Information Processing >> Signal transduction >> cGMP-PKG signaling pathway Environmental Information Processing >> Signal transduction >> PI3K-Akt signaling pathway Environmental Information Processing >> Signal transduction >> mTOR signaling pathway
货号: KA4175C
规格
价格
货期
数量
96well
¥3,300.00
两周

0

加入购物车

已收藏

收藏

定制服务咨询
×

Toggle night Mode

{{pinfoXq.title || ''}}

Catalog: {{pinfoXq.catalog || ''}}
Filter:

All

{{item.name}}

{{pinfo.title}}
-{{pinfo.catalog}}

筛选器:

{{item.descr}}

主要信息
Target
{{pinfo.target}}
Reactivity
{{pinfo.react}}
Applications
{{pinfo.applicat}}
Conjugate/Modification
{{pinfo.coupling}}/{{pinfo.modific}}
MW (kDa)
{{pinfo.mwcalc}}
Host Species
{{pinfo.hostspec}}
Isotype
{{pinfo.isotype}}
查看产品详情
产品 {{index}}/{{pcount}}
上一个产品
下一个产品

{{pvTitle}}

滚轮缩放图片
{{pvDescr}}