联系我们

400-8787-807

快速订购

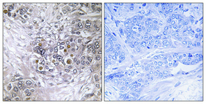
Total EFP Cell-Based Colorimetric ELISA Kit

-KA3728C

5
主要信息
Reactivity

Human

Applications

ELISA

Conjugate/Modification

Unmodified

货号: KA3728C
规格
价格
货期
数量
96well
¥3,300.00
两周

0

加入购物车

已收藏

收藏

定制服务咨询
详细信息
储存
2-8°C/6 months,Ship by ice bag
修饰
Unmodified
检测方法
Colorimetric
相关产品
Primary Antibodies
EFP Rabbit pAb
YT1478

预览→

ELISA Kits
Total ZNF147 Cell-Based Colorimetric ELISA Kit
KA4354C

预览→

ELISA Kits
Total EFP Cell-Based Colorimetric ELISA Kit
KA3728C

预览→

ELISA Kits
Human TNF-α(Tumor Necrosis Factor Alpha) ELISA Kit
KE1372

预览→

ELISA Kits
Human RNASE3/ECP(Ribonuclease A3/Eosinophil Cationic Protein) ELISA Kit
KE1709

预览→

抗原&靶点信息
基因名称:
TRIM25
展开内容
别名:
TRIM25 ;
EFP ;
RNF147 ;
ZNF147 ;
E3 ubiquitin/ISG15 ligase TRIM25 ;
Estrogen-responsive finger protein ;
RING finger protein 147 ;
Tripartite motif-containing protein 25 ;
Ubiquitin/ISG15-conjugating enzyme TRIM25 ;
Zinc finger protein 147
展开内容
数据库链接:
Organism 基因 ID SwissProt
Human 7706; Q14258;
Mouse Q61510;
背景:
function:Mediates estrogen action in various target organs.,similarity:Contains 1 B30.2/SPRY domain.,similarity:Contains 1 RING-type zinc finger.,tissue specificity:Ubiquitous.,
展开内容
细胞定位:
Cytoplasm . Cytoplasm, Stress granule . Nucleus .
展开内容
货号: KA3728C
规格
价格
货期
数量
96well
¥3,300.00
两周

0

加入购物车

已收藏

收藏

定制服务咨询
×

Toggle night Mode

{{pinfoXq.title || ''}}

Catalog: {{pinfoXq.catalog || ''}}
Filter:

All

{{item.name}}

{{pinfo.title}}
-{{pinfo.catalog}}

筛选器:

{{item.descr}}

主要信息
Target
{{pinfo.target}}
Reactivity
{{pinfo.react}}
Applications
{{pinfo.applicat}}
Conjugate/Modification
{{pinfo.coupling}}/{{pinfo.modific}}
MW (kDa)
{{pinfo.mwcalc}}
Host Species
{{pinfo.hostspec}}
Isotype
{{pinfo.isotype}}
查看产品详情
产品 {{index}}/{{pcount}}
上一个产品
下一个产品

{{pvTitle}}

滚轮缩放图片
{{pvDescr}}