联系我们

400-8787-807

快速订购

Total Elk-1 Cell-Based Colorimetric ELISA Kit

-KA3098C

5
主要信息
Reactivity

Human, Mouse, Rat

Applications

ELISA

Conjugate/Modification

Unmodified

货号: KA3098C
规格
价格
货期
数量
96well
¥3,300.00
两周

0

加入购物车

已收藏

收藏

定制服务咨询
详细信息
储存
2-8°C/6 months,Ship by ice bag
修饰
Unmodified
检测方法
Colorimetric
相关产品
Primary Antibodies
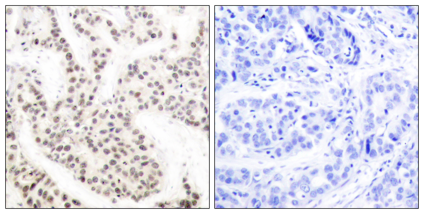
Elk-1 Rabbit pAb
YT1527

预览→

Primary Antibodies
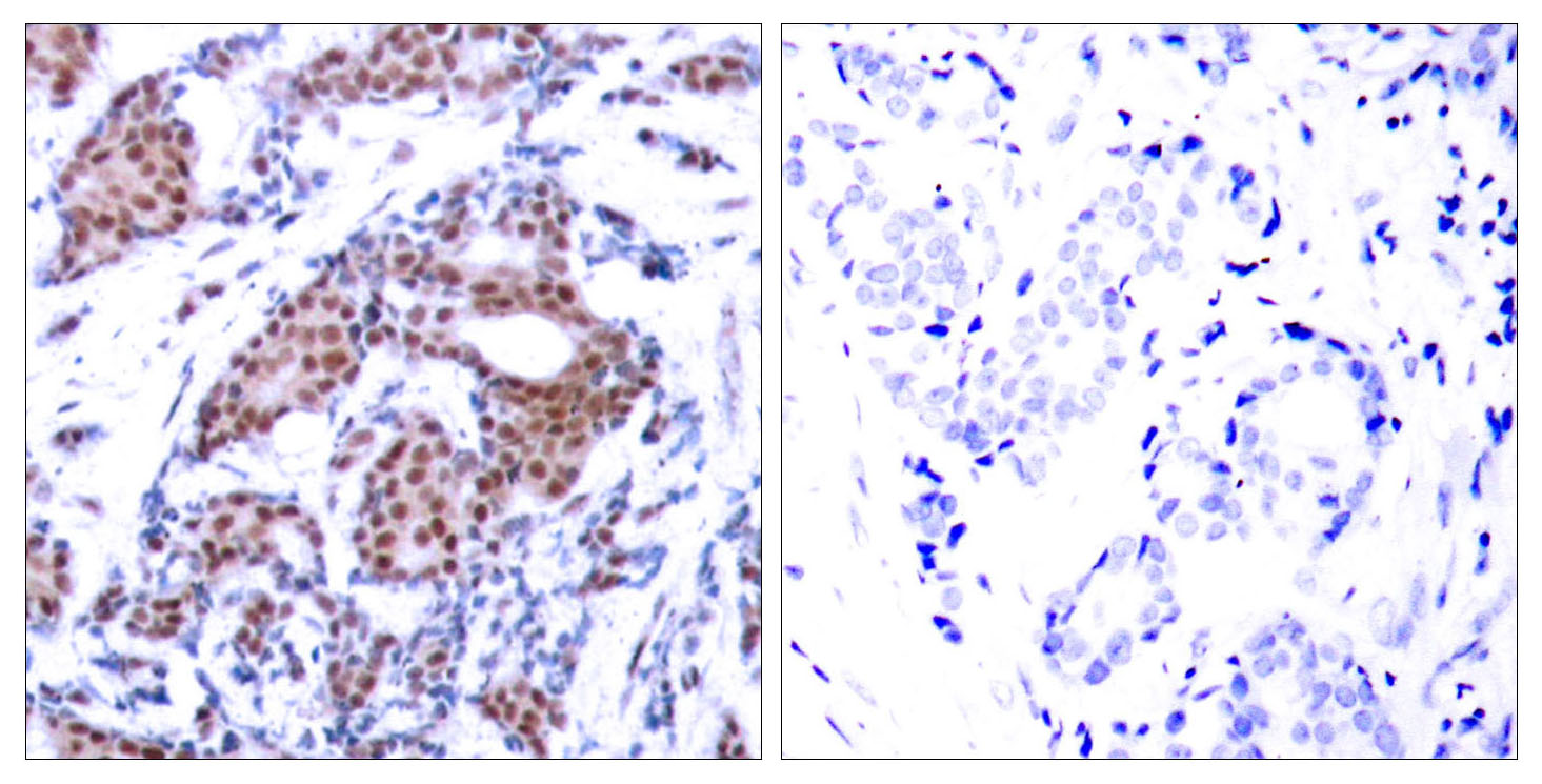
Elk-1 (Phospho Thr417) Rabbit pAb
YP0097

预览→

Primary Antibodies
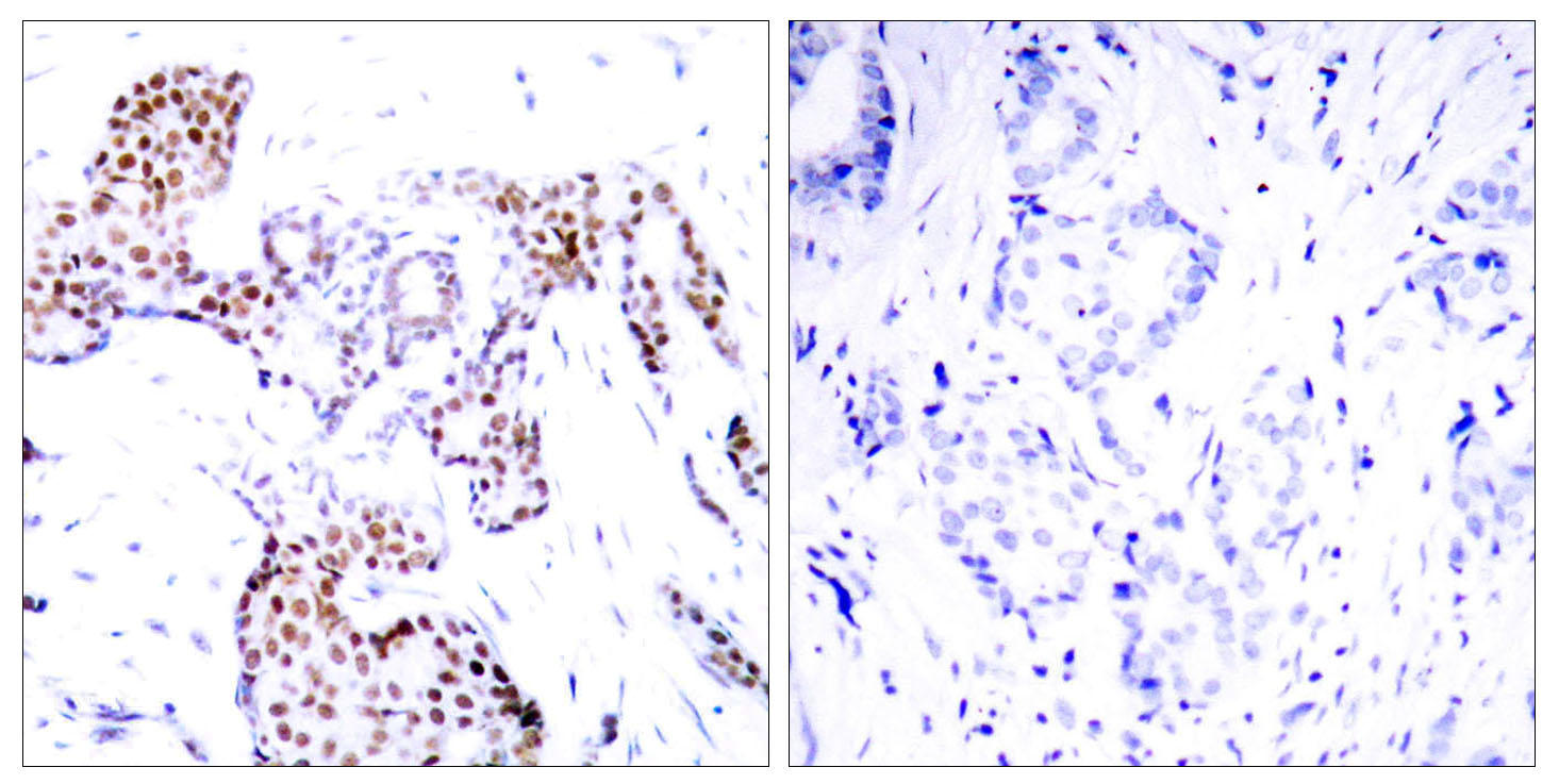
Elk-1 (Phospho Ser389) Rabbit pAb
YP0096

预览→

Primary Antibodies
Elk-1 (Phospho Ser383) Rabbit pAb
YP0095

预览→

ELISA Kits
Total Elk-1 Cell-Based Colorimetric ELISA Kit
KA3098C

预览→

ELISA Kits
Total Elk-1 Cell-Based Colorimetric ELISA Kit
KA3097C

预览→

ELISA Kits
Total Elk-1 Cell-Based Colorimetric ELISA Kit
KA3096C

预览→

ELISA Kits
Total Elk-1 Cell-Based Colorimetric ELISA Kit
KA3095C

预览→

ELISA Kits
Elk1 (Phospho Ser389) Cell-Based Colorimetric ELISA Kit
KA1564C

预览→

ELISA Kits
Elk1 (Phospho Ser383) Cell-Based Colorimetric ELISA Kit
KA1078C

预览→

抗原&靶点信息
基因名称:
ELK1
展开内容
别名:
ELK1 ;
ETS domain-containing protein Elk-1
展开内容
数据库链接:
Organism 基因 ID SwissProt
Human 2002; P19419;
Mouse 13712; P41969;
背景:
function:Stimulates transcription. Binds to purine-rich DNA sequences. Can form a ternary complex with the serum response factor and the ETS and SRF motifs of the fos serum response element.,PTM:On mitogenic stimulation, phosphorylated on C-terminal serine and threonine residues by MAPK1. Ser-383 and Ser-389 are the preferred sites for MAPK1. In vitro, phosphorylation by MAPK1 potentiates ternary complex formation with the serum responses factors, SRE and SRF. Phosphorylation leads to loss of sumoylation and restores transcriptional activator activity.,PTM:Sumoylation represses transcriptional activator activity as it results in recruitment of HDAC2 to target gene promoters which leads to decreased histone acetylation and reduced transactivator activity. It also regulates nuclear retention.,similarity:Belongs to the ETS family.,similarity:Contains 1 ETS DNA-binding domain.,subunit:Interacts in its sumoylated form with PIAS2/PIASX which enhances its transcriptional activator activity.,tissue specificity:Lung and testis.,
展开内容
功能:
transcription, regulation of transcription, DNA-dependent, regulation of transcription from RNA polymerase II promoter,positive regulation of biosynthetic process, positive regulation of macromolecule biosynthetic process, positive regulation of macromolecule metabolic process, positive regulation of gene expression, positive regulation of cellular biosynthetic process, regulation of transcription, positive regulation of transcription, DNA-dependent, positive regulation of nucleobase, nucleoside, nucleotide and nucleic acid metabolic process, positive regulation of transcription, positive regulation of transcription from RNA polymerase II promoter, positive regulation of nitrogen compound metabolic process, regulation of RNA metabolic process, positive regulation of RNA metabolic process,
展开内容
细胞定位:
Nucleus.
展开内容
组织表达:
展开内容
货号: KA3098C
规格
价格
货期
数量
96well
¥3,300.00
两周

0

加入购物车

已收藏

收藏

定制服务咨询
×

Toggle night Mode

{{pinfoXq.title || ''}}

Catalog: {{pinfoXq.catalog || ''}}
Filter:

All

{{item.name}}

{{pinfo.title}}
-{{pinfo.catalog}}

筛选器:

{{item.descr}}

主要信息
Target
{{pinfo.target}}
Reactivity
{{pinfo.react}}
Applications
{{pinfo.applicat}}
Conjugate/Modification
{{pinfo.coupling}}/{{pinfo.modific}}
MW (kDa)
{{pinfo.mwcalc}}
Host Species
{{pinfo.hostspec}}
Isotype
{{pinfo.isotype}}
查看产品详情
产品 {{index}}/{{pcount}}
上一个产品
下一个产品

{{pvTitle}}

滚轮缩放图片
{{pvDescr}}