联系我们

400-8787-807

快速订购

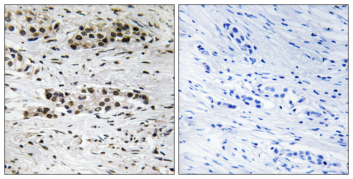
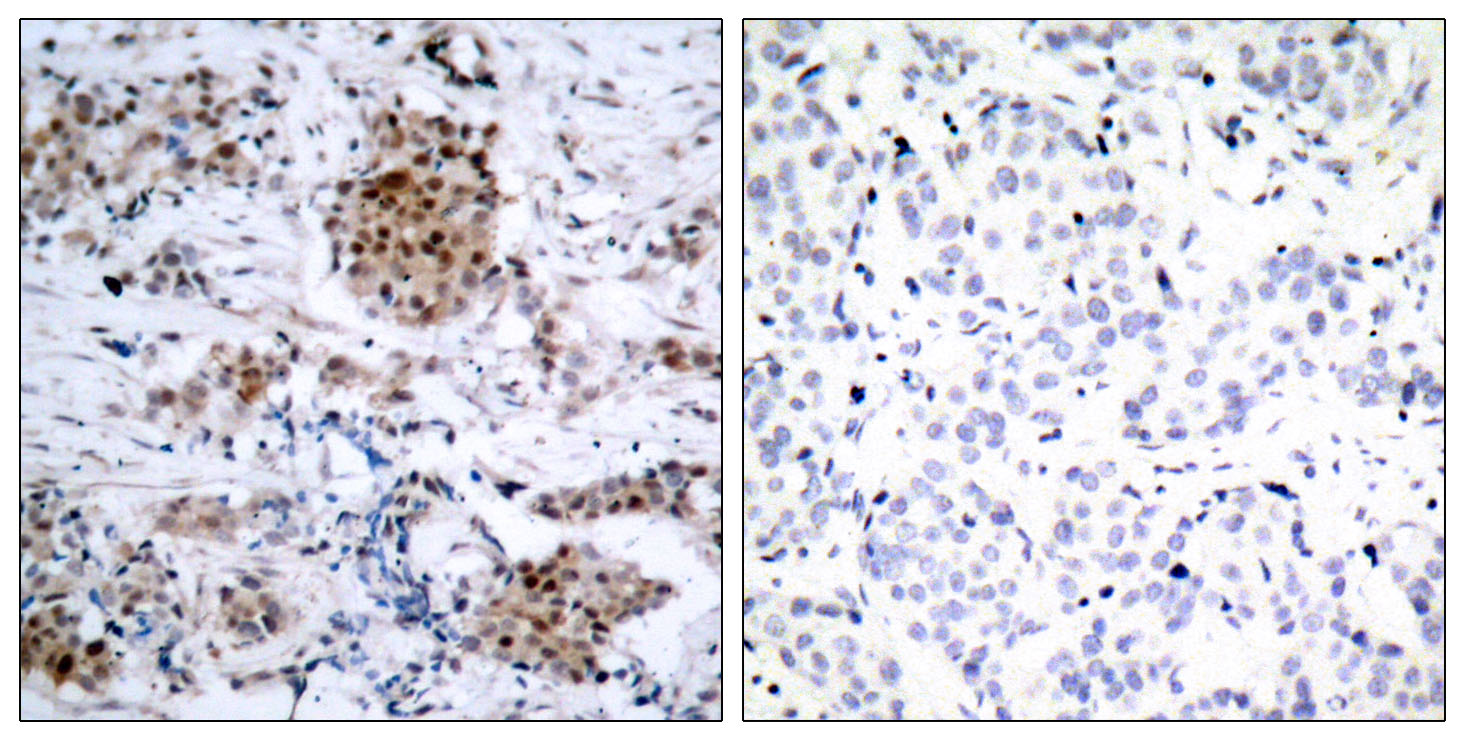
Estrogen Receptor-α (Phospho Ser104) Cell-Based Colorimetric ELISA Kit

-KA1569C

5
主要信息
Reactivity

Human, Mouse, Rat

Applications

ELISA

Conjugate/Modification

Phospho

货号: KA1569C
规格
价格
货期
数量
96well
¥4,700.00
两周

0

加入购物车

已收藏

收藏

定制服务咨询
详细信息
储存
2-8°C/6 months,Ship by ice bag
修饰
Phospho
检测方法
Colorimetric
相关产品
Primary Antibodies
ERα Rabbit pAb
YT1634

预览→

Primary Antibodies
ERα Rabbit pAb
YT1632

预览→

Primary Antibodies
ERα (Phospho Ser305) Rabbit pAb
YP1176

预览→

Primary Antibodies
ERα (Phospho Ser102) Rabbit pAb
YP1094

预览→

Primary Antibodies
ERα (Phospho Tyr537) Rabbit pAb
YP0648

预览→

Primary Antibodies
ERα (Phospho Ser167) Rabbit pAb
YP0105

预览→

Primary Antibodies
ERα (Phospho Ser118) Rabbit pAb
YP0104

预览→

Primary Antibodies
ERα (Phospho Ser106) Rabbit pAb
YP0103

预览→

Primary Antibodies
ERα (Phospho Ser104) Rabbit pAb
YP0102

预览→

ELISA Kits
Total ERα Cell-Based Colorimetric ELISA Kit
KA3102C

预览→

ELISA Kits
Total ERα Cell-Based Colorimetric ELISA Kit
KA3101C

预览→

ELISA Kits
Total ERα Cell-Based Colorimetric ELISA Kit
KA3100C

预览→

ELISA Kits
Estrogen Receptor-α (Phospho Ser118) Cell-Based Colorimetric ELISA Kit
KA1571C

预览→

ELISA Kits
Estrogen Receptor-α (Phospho Ser106) Cell-Based Colorimetric ELISA Kit
KA1570C

预览→

ELISA Kits
Estrogen Receptor-α (Phospho Ser104) Cell-Based Colorimetric ELISA Kit
KA1569C

预览→

ELISA Kits
Estrogen Receptor-α (Phospho Tyr537) Cell-Based Colorimetric ELISA Kit
KA1279C

预览→

ELISA Kits
ERα (Phospho Ser167) Cell-Based Colorimetric ELISA Kit
KA1079C

预览→

抗原&靶点信息
基因名称:
ESR1
展开内容
别名:
Estrogen receptor ;
ER ;
ER-alpha ;
Estradiol receptor ;
Nuclear receptor subfamily 3 group A member 1 ;
展开内容
数据库链接:
Organism 基因 ID SwissProt
Human 2099; P03372;
Mouse P19785;
Rat P06211;
背景:
domain:Composed of three domains: a modulating N-terminal domain, a DNA-binding domain and a C-terminal steroid-binding domain.,function:Nuclear hormone receptor. The steroid hormones and their receptors are involved in the regulation of eukaryotic gene expression and affect cellular proliferation and differentiation in target tissues.,online information:Estrogen receptor entry,polymorphism:Genetic variations in ESR1 are correlated with bone mineral density (BMD). Low BMD is a risk factor for osteoporotic fracture. Osteoporosis is characterized by reduced bone mineral density, disrutption of bone microarchitecture, and the alteration of the amount and variety of non-collagenous proteins in bone. Osteoporotic bones are more at risk of fracture.,PTM:Glycosylated; contains N-acetylglucosamine, probably O-linked.,PTM:Phosphorylated by cyclin A/CDK2. Phosphorylation probably enhances transcriptional activity.,similarity:Belongs to the nuclear hormone receptor family.,similarity:Belongs to the nuclear hormone receptor family. NR3 subfamily.,similarity:Contains 1 nuclear receptor DNA-binding domain.,subunit:Interacts with SLC30A9 (By similarity). Binds DNA as a homodimer. Can form a heterodimer with ESR2. Interacts with NCOA3, NCOA5 and NCOA6 coactivators, leading to a strong increase of transcription of target genes. Interacts with NCOA7 in a ligand-inducible manner. Interacts with PHB2, PELP1 and UBE1C. Interacts with AKAP13. Interacts with CUEDC2. Interacts with KDM5A. Interacts with SMARD1. Interacts with HEXIM1 and MAP1S. Interacts with PBXIP1. Interaction with MUC1 is stimulated by 7 beta-estradiol (E2) and enhances ERS1-mediated transcription. Interacts with DNTTIP2, FAM120B and UIMC1. Interacts with isoform 4 of TXNRD1. Interacts with MLL2. Interacts with ATAD2 and this interaction is enhanced by estradiol.,
展开内容
功能:
transcription, transcription, DNA-dependent, regulation of transcription, DNA-dependent, anti-apoptosis, intracellular signaling cascade, response to endogenous stimulus, response to hormone stimulus, positive regulation of signal transduction, response to organic substance, positive regulation of macromolecule metabolic process, positive regulation of gene expression, positive regulation of cell communication, regulation of cell death, steroid hormone receptor signaling pathway, estrogen receptor signaling pathway, intracellular receptor-mediated signaling pathway,RNA biosynthetic process, regulation of apoptosis, negative regulation of apoptosis, regulation of programmed cell death, negative regulation of programmed cell death, regulation of neuron apoptosis, neuroprotection, response to estrogen stimulus, regulation of transcription, regulation of survival gene product expression, positive regulation of survival gene product expression, regulation of retinoic acid receptor signaling pathway, positive regulation of retinoic acid receptor signaling pathway, response to steroid hormone stimulus, regulation of RNA metabolic process, negative regulation of cell death,
展开内容
细胞定位:
[Isoform 1]: Nucleus . Cytoplasm . Cell membrane ; Peripheral membrane protein ; Cytoplasmic side . A minor fraction is associated with the inner membrane.; [Isoform 3]: Nucleus. Cytoplasm. Cell membrane; Peripheral membrane protein; Cytoplasmic side. Cell membrane; Single-pass type I membrane protein. Associated with the inner membrane via palmitoylation (Probable). At least a subset exists as a transmembrane protein with a N-terminal extracellular domain. .; Nucleus. Golgi apparatus. Cell membrane. Colocalizes with ZDHHC7 and ZDHHC21 in the Golgi apparatus where most probably palmitoylation occurs. Associated with the plasma membrane when palmitoylated.
展开内容
货号: KA1569C
规格
价格
货期
数量
96well
¥4,700.00
两周

0

加入购物车

已收藏

收藏

定制服务咨询
×

Toggle night Mode

{{pinfoXq.title || ''}}

Catalog: {{pinfoXq.catalog || ''}}
Filter:

All

{{item.name}}

{{pinfo.title}}
-{{pinfo.catalog}}

筛选器:

{{item.descr}}

主要信息
Target
{{pinfo.target}}
Reactivity
{{pinfo.react}}
Applications
{{pinfo.applicat}}
Conjugate/Modification
{{pinfo.coupling}}/{{pinfo.modific}}
MW (kDa)
{{pinfo.mwcalc}}
Host Species
{{pinfo.hostspec}}
Isotype
{{pinfo.isotype}}
查看产品详情
产品 {{index}}/{{pcount}}
上一个产品
下一个产品

{{pvTitle}}

滚轮缩放图片
{{pvDescr}}