联系我们

400-8787-807

快速订购

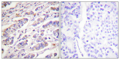
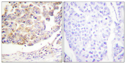
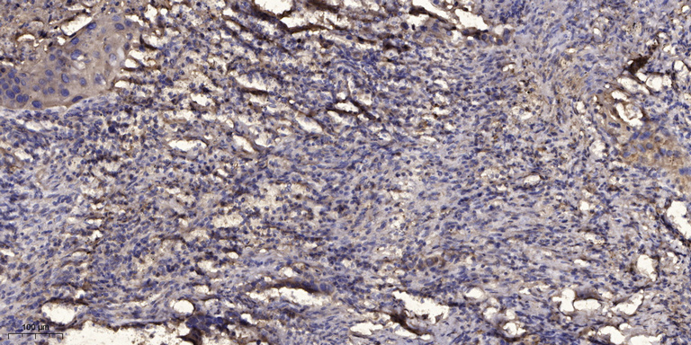
VAV1 (Phospho Tyr174) Cell-Based Colorimetric ELISA Kit

-KA1228C

5
主要信息
Reactivity

Human, Mouse, Rat

Applications

ELISA

Conjugate/Modification

Phospho

货号: KA1228C
规格
价格
货期
数量
96well
¥4,700.00
两周

0

加入购物车

已收藏

收藏

定制服务咨询
详细信息
储存
2-8°C/6 months,Ship by ice bag
修饰
Phospho
检测方法
Colorimetric
相关产品
Primary Antibodies
VAV1 Rabbit pAb
YT5041

预览→

Primary Antibodies
VAV1 Rabbit pAb
YT4863

预览→

Primary Antibodies
VAV1 Rabbit pAb
YT4862

预览→

Primary Antibodies
VAV1 (Phospho Tyr160) Rabbit pAb
YP0969

预览→

Primary Antibodies
VAV1 (Phospho Tyr174) Rabbit pAb
YP0274

预览→

Primary Antibodies
VAV1 (Phospho Tyr174) Rabbit pAb
YP0273

预览→

ELISA Kits
Total VAV1 Cell-Based Colorimetric ELISA Kit
KA4316C

预览→

ELISA Kits
VAV1 (Phospho Tyr174) Cell-Based Colorimetric ELISA Kit
KA1228C

预览→

抗原&靶点信息
基因名称:
VAV
展开内容
别名:
Proto-oncogene vav
展开内容
数据库链接:
Organism 基因 ID SwissProt
Human 7409; P15498;
Mouse P27870;
Rat P54100;
背景:
domain:The DH domain is involved in interaction with CCPG1.,function:Couples tyrosine kinase signals with the activation of the Rho/Rac GTPases, thus leading to cell differentiation and/or proliferation.,miscellaneous:'Vav' stands for the sixth letter of the Hebrew alphabet.,PTM:Phosphorylated on tyrosine residues.,similarity:Contains 1 CH (calponin-homology) domain.,similarity:Contains 1 DH (DBL-homology) domain.,similarity:Contains 1 PH domain.,similarity:Contains 1 phorbol-ester/DAG-type zinc finger.,similarity:Contains 1 SH2 domain.,similarity:Contains 2 SH3 domains.,subunit:May interact with CCPG1 (By similarity). Interacts with APS, DOCK2, GRB2, GRB3, DOCK2, SLA and ZNF655/VIK. Interacts with SIAH2; without leading to its degradation. Associates with BLNK, PLCG1, GRB2 and NCK1 in a B-cell antigen receptor-dependent fashion. Interacts with CBLB; which inhibits tyrosine phosphorylation and down-regulates activity. Interacts with SHB and CLNK.,tissue specificity:Widely expressed in hematopoietic cells but not in other cell types.,
展开内容
功能:
cell activation, endocytosis, phagocytosis, apoptosis, induction of apoptosis, immune response, cell surface receptor linked signal transduction, integrin-mediated signaling pathway, intracellular signaling cascade, cell death, induction of apoptosis by extracellular signals, membrane invagination, regulation of cell death, positive regulation of cell death,programmed cell death, induction of programmed cell death, membrane organization, vesicle-mediated transport,death, regulation of cell adhesion, regulation of Rho protein signal transduction, T cell activation, regulation of apoptosis, positive regulation of apoptosis, regulation of programmed cell death, positive regulation of programmed cell death, regulation of GTPase activity, leukocyte activation, positive regulation of cell adhesion, regulation of Ras protein signal transduction, lymphocyte activation, regulation of small GTPase mediated signal transduction, regulation of hydrolase activity,
展开内容
货号: KA1228C
规格
价格
货期
数量
96well
¥4,700.00
两周

0

加入购物车

已收藏

收藏

定制服务咨询
×

Toggle night Mode

{{pinfoXq.title || ''}}

Catalog: {{pinfoXq.catalog || ''}}
Filter:

All

{{item.name}}

{{pinfo.title}}
-{{pinfo.catalog}}

筛选器:

{{item.descr}}

主要信息
Target
{{pinfo.target}}
Reactivity
{{pinfo.react}}
Applications
{{pinfo.applicat}}
Conjugate/Modification
{{pinfo.coupling}}/{{pinfo.modific}}
MW (kDa)
{{pinfo.mwcalc}}
Host Species
{{pinfo.hostspec}}
Isotype
{{pinfo.isotype}}
查看产品详情
产品 {{index}}/{{pcount}}
上一个产品
下一个产品

{{pvTitle}}

滚轮缩放图片
{{pvDescr}}