联系我们

400-8787-807

快速订购

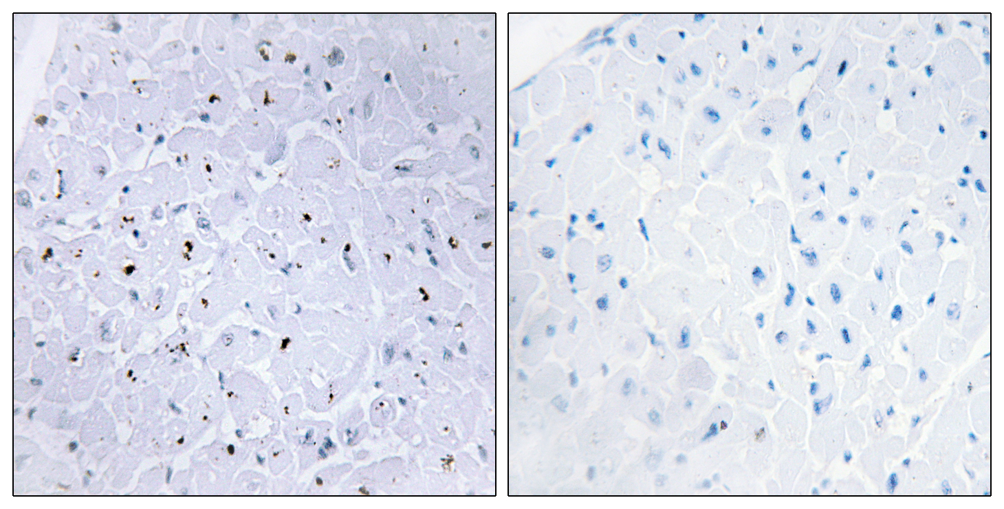
53BP1 (Phospho Ser6) Cell-Based Colorimetric ELISA Kit

-KA1007C

5
主要信息
Target

53BP1 Phospho Ser6

Reactivity

Human, Mouse, Rat, Chicken(testedbyourcustomer)

Applications

ELISA

Conjugate/Modification

Phospho

货号: KA1007C
规格
价格
货期
数量
96well
¥4,700.00
两周

0

加入购物车

已收藏

收藏

定制服务咨询
详细信息
储存
2-8°C/6 months,Ship by ice bag
修饰
Phospho
检测方法
Colorimetric
相关产品
Primary Antibodies
53BP1 Rabbit pAb
YT0026

预览→

Primary Antibodies
53BP1 Rabbit pAb
YT0024

预览→

Primary Antibodies
53BP1 (Phospho Ser25) Rabbit pAb
YP1140

预览→

Primary Antibodies
53BP1 (Phospho Ser6) Rabbit pAb
YP0710

预览→

ELISA Kits
Total 53BP1 Cell-Based Colorimetric ELISA Kit
KA3981C

预览→

ELISA Kits
53BP1 (Phospho Ser6) Cell-Based Colorimetric ELISA Kit
KA1007C

预览→

抗原&靶点信息
基因名称:
TP53BP1
展开内容
蛋白名称:
Tumor suppressor p53-binding protein 1
展开内容
别名:
TP53BP1 ;
Tumor suppressor p53-binding protein 1 ;
53BP1 ;
p53-binding protein 1 ;
p53BP1
展开内容
数据库链接:
Organism 基因 ID SwissProt
Human 7158; Q12888;
Mouse 27223; P70399;
背景:
This gene encodes a protein that functions in the DNA double-strand break repair pathway choice, promoting non-homologous end joining (NHEJ) pathways, and limiting homologous recombination. This protein plays multiple roles in the DNA damage response, including promoting checkpoint signaling following DNA damage, acting as a scaffold for recruitment of DNA damage response proteins to damaged chromatin, and promoting NHEJ pathways by limiting end resection following a double-strand break. These roles are also important during V(D)J recombination, class switch recombination and at unprotected telomeres. Alternative splicing results in multiple transcript variants encoding different isoforms. [provided by RefSeq, Aug 2017]
展开内容
功能:
Function:May have a role in checkpoint signaling during mitosis (By similarity). Enhances TP53-mediated transcriptional activation. Plays a role in the response to DNA damage.,PTM:Asymmetrically dimethylated on Arg residues by PRMT1. Methylation is required for DNA binding.,PTM:Phosphorylated at basal level in the absence of DNA damage. Hyper-phosphorylated in an ATM-dependent manner in response to DNA damage induced by ionizing radiation. Hyper-phosphorylated in an ATR-dependent manner in response to DNA damage induced by UV irradiation.,similarity:Contains 2 BRCT domains.,subcellular location:Associated with kinetochores. Both nuclear and cytoplasmic in some cells. Recruited to sites of DNA damage, such as double stand breaks. Methylation of histone H4 at 'Lys-20' is required for efficient localization to double strand breaks.,subunit:Interacts with IFI202A (By similarity). Binds to the central domain of TP53/p53. May form homo-oligomers. Interacts with DCLRE1C. Interacts with histone H2AFX and this requires phosphorylation of H2AFX on 'Ser-139'. Interacts with histone H4 that has been dimethylated at 'Lys-20'. Has low affinity for histone H4 containing monomethylated 'Lys-20'. Does not bind histone H4 containing unmethylated or trimethylated 'Lys-20'. Has low affinity for histone H3 that has been dimethylated on 'Lys-79'. Has very low affinity for histone H3 that has been monomethylated on 'Lys-79' (in vitro). Does not bind unmethylated histone H3.,
展开内容
细胞定位:
Nucleus
展开内容
研究领域:
>>NOD-like receptor signaling pathway
展开内容
货号: KA1007C
规格
价格
货期
数量
96well
¥4,700.00
两周

0

加入购物车

已收藏

收藏

定制服务咨询
×

Toggle night Mode

{{pinfoXq.title || ''}}

Catalog: {{pinfoXq.catalog || ''}}
Filter:

All

{{item.name}}

{{pinfo.title}}
-{{pinfo.catalog}}

筛选器:

{{item.descr}}

主要信息
Target
{{pinfo.target}}
Reactivity
{{pinfo.react}}
Applications
{{pinfo.applicat}}
Conjugate/Modification
{{pinfo.coupling}}/{{pinfo.modific}}
MW (kDa)
{{pinfo.mwcalc}}
Host Species
{{pinfo.hostspec}}
Isotype
{{pinfo.isotype}}
查看产品详情
产品 {{index}}/{{pcount}}
上一个产品
下一个产品

{{pvTitle}}

滚轮缩放图片
{{pvDescr}}