联系我们

400-8787-807

快速订购
O

TORC1 (Phospho Ser151) Rabbit pAb

-YP1534

5 2
主要信息
Target

TORC1 Phospho Ser151

Host Species

Rabbit

Reactivity

Human, Mouse, Rat

Applications

WB

MW

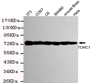
70kD (Observed)

Conjugate/Modification

Phospho

货号: YP1534
规格
价格
货期
数量
200μL
¥4,680.00
现货

0

100μL
¥2,800.00
现货

0

50μL
¥1,500.00
现货

0

加入购物车

已收藏

收藏

定制服务咨询
详细信息
推荐稀释比
WB 1:1000-2000
组成
Liquid in PBS containing 50% glycerol, 0.5% BSA and 0.02% sodium azide.
特异性
This antibody detects endogenous levels of Human TORC1 or CRTC1 (phospho-Ser151).The name of modified sites may be influenced by many factors, such as species (the modified site was not originally found in human samples) and the change of protein sequence (the previous protein sequence is incomplete, and the protein sequence may be prolonged with the development of protein sequencing technology). When naming, we will use the "numbers" in historical reference to keep the sites consistent with the reports. The antibody binds to the following modification sequence (lowercase letters are modification sites):TNsDS
纯化工艺
The antibody was affinity-purified from rabbit serum by affinity-chromatography using specific immunogen.
储存
-15°C to -25°C/1 year(Do not lower than -25°C)
浓度
1 mg/ml
实测条带
70kD
修饰
Phospho
克隆性
Polyclonal
同种型
IgG
相关产品
Primary Antibodies
TORC1 Mouse mAb
YM1329

预览→

Primary Antibodies
MECT1/TORC1 Mouse mAb
YM1289

预览→

Primary Antibodies
TORC1 Mouse mAb
YM1109

预览→

Primary Antibodies
TORC1 Mouse mAb
YM0624

预览→

抗原&靶点信息
免疫原:
Synthesized phosho peptide around human TORC1 and CRTC1 (Ser151)
展开内容
特异性:
This antibody detects endogenous levels of Human TORC1 or CRTC1 (phospho-Ser151).The name of modified sites may be influenced by many factors, such as species (the modified site was not originally found in human samples) and the change of protein sequence (the previous protein sequence is incomplete, and the protein sequence may be prolonged with the development of protein sequencing technology). When naming, we will use the "numbers" in historical reference to keep the sites consistent with the reports. The antibody binds to the following modification sequence (lowercase letters are modification sites):TNsDS
展开内容
基因名称:
CRTC1 KIAA0616 MECT1 TORC1 WAMTP1
展开内容
蛋白名称:
TORC1/CRTC1 (Ser151)
展开内容
别名:
CRTC1 ;
KIAA0616 ;
MECT1 ;
TORC1 ;
WAMTP1 ;
CREB-regulated transcription coactivator 1 ;
Mucoepidermoid carcinoma translocated protein 1 ;
Transducer of regulated cAMP response element-binding protein 1 ;
TORC-1 ;
Transducer of CREB protein 1
展开内容
数据库链接:
Organism 基因 ID SwissProt
Human 23373; Q6UUV9;
Mouse 382056; Q68ED7;
Rat 684527; Q157S1;
功能:
Disease:A chromosomal aberration involving CRTC1 is found in mucoepidermoid carcinomas, benign Warthin tumors and clear cell hidradenomas. Translocation t(11;19)(q21;p13) with MAML2. The fusion protein consists of the N-terminus of CRTC1 joined to the C-terminus of MAML2. The reciprocal fusion protein consisting of the N-terminus of MAML2 joined to the C-terminus of CRTC1 has been detected in a small number of mucoepidermoid carcinomas.,Function:Transcriptional coactivator for CREB1 which activates transcription through both consensus and variant cAMP response element (CRE) sites. Acts as a coactivator, in the SIK/TORC signaling pathway, being active when dephosphorylated and acts independently of CREB1 'Ser-133' phosphorylation. Enhances the interaction of CREB1 with TAF4. Regulates the expression of specific CREB-activated genes such as the steroidogenic gene, StAR. Potent coactivator of PGC1alpha and inducer of mitochondrial biogenesis in muscle cells. Also coactivator for TAX activation of the human T-cell leukemia virus type 1 (HTLV-1) long terminal repeats (LTR). In the hippocampus, involved in late-phase long-term potentiation (L-LTP) maintenance at the Schaffer collateral-CA1 synapses.,PTM:Phosphorylation/dephosphorylation states of Ser-151 are required for regulating transduction of CREB activity. TORCs are inactive when phosphorylated, and active when dephosphorylated at this site. This primary site of phosphorylation, is regulated by cAMP and calcium levels and is dependent on the phosphorylation of SIKs by LKB1 (By similarity). Phosphorylated upon DNA damage, probably by ATM or ATR.,similarity:Belongs to the TORC family.,subcellular location:Cytoplasmic when phosphorylated by SIK or AMPK and when sequestered by 14-3-3 proteins (By similarity). Translocated to the nucleus on Ser-151 dephosphorylation, instigated by a number of factors including calcium ion and cAMP levels.,subunit:Binds, as a tetramer, through its N-terminal region, with the bZIP domain of CREB1. 'Arg-314' in the bZIP domain of CREB1 is essential for this interaction. Interaction, via its C-terminal, with TAF4, enhances recruitment of TAF4 to CREB1. Binds HTLV1 Tax.,tissue specificity:Highly expressed in adult and fetal brain. Located to specific regions such as the prefrontal cortex and cerebellum. Very low expression in other tissues such as heart, spleen, lung, skeletal muscle, salivary gland, ovary and kidney.,
展开内容
细胞定位:
Cytoplasm . Nucleus . Cytoplasmic when phosphorylated by SIK or AMPK and when sequestered by 14-3-3 proteins (PubMed:16817901). Translocated to the nucleus on Ser-151 dephosphorylation, instigated by a number of factors including calcium ion and cAMP levels (PubMed:15589160). Light stimulation triggers a nuclear accumulation in the suprachiasmatic nucleus (SCN) of the brain (By similarity). .
展开内容
研究领域:
>>Human T-cell leukemia virus 1 infection
展开内容
货号: YP1534
规格
价格
货期
数量
200μL
¥4,680.00
现货

0

100μL
¥2,800.00
现货

0

50μL
¥1,500.00
现货

0

加入购物车

已收藏

收藏

定制服务咨询
×

Toggle night Mode

{{pinfoXq.title || ''}}

Catalog: {{pinfoXq.catalog || ''}}
Filter:

All

{{item.name}}

{{pinfo.title}}
-{{pinfo.catalog}}

筛选器:

{{item.descr}}

主要信息
Target
{{pinfo.target}}
Reactivity
{{pinfo.react}}
Applications
{{pinfo.applicat}}
Conjugate/Modification
{{pinfo.coupling}}/{{pinfo.modific}}
MW (kDa)
{{pinfo.mwcalc}}
Host Species
{{pinfo.hostspec}}
Isotype
{{pinfo.isotype}}
查看产品详情
产品 {{index}}/{{pcount}}
上一个产品
下一个产品

{{pvTitle}}

滚轮缩放图片
{{pvDescr}}